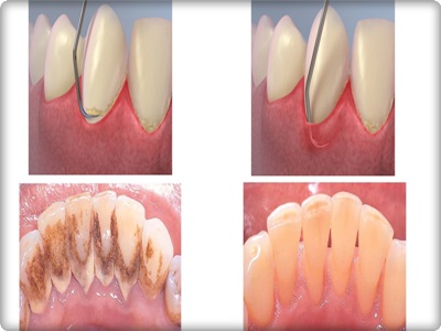
Gum treatment varies depending on the cause of the gum disease, its stage, and the oral condition of the patient. To increase the success rate of gum treatment, early diagnosis of the disease is crucial. When diagnosed early, regular check-ups can effectively treat the disease. However, if the disease has progressed, surgical intervention may be necessary. During professional cleaning, plaque that has hardened into tartar is removed, and root planing is performed to correct irregularities in the tooth roots. During and after this process, patients must pay close attention to oral hygiene. They should use dental floss, toothbrushes, interdental brushes, and mouthwash regularly to maintain cleanliness.
What Does Healthy Gum Appearance Look Like?
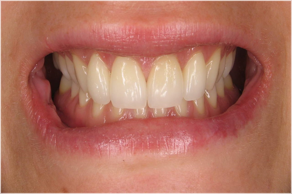
Individuals with healthy gums do not experience bleeding, especially after brushing or using dental floss. The gums have a light pink color and a firm texture. They are not swollen and have a tight consistency. Additionally, the gum line has a thin, knife-edge-like appearance where it tapers off smoothly along the teeth.
When examining the causes of gum diseases, it is evident that insufficient oral hygiene can lead to such conditions. Specifically, when soft bacterial plaque on the gums is not effectively removed after cleaning with a toothbrush and dental floss, various gum diseases can develop. The accumulation of harmful substances that are not cleaned over time can cause gum inflammation and, eventually, bone loss around the teeth. As the microbial dental plaque (soft bacterial layer) hardens over time, it transforms into tartar. Due to the rough surface of tartar, more plaque tends to accumulate, further exacerbating gum disease. The well-known causes are as follows:
- Microbial Dental Plaque
- Excessive Smoking
- Diabete
- Hereditary Factors
How Are Gum Diseases Related to Hereditary Factors?

How Is Gum Disease Diagnosed?
The symptoms of gum disease can vary depending on the patient’s age and the stage of the disease. The common signs include:
- Gums are red, swollen, and much more sensitive than before.
- Bleeding occurs during brushing or flossing, with blood sometimes visible in the saliva or on the toothbrush.
- Gum recession causes the teeth to appear longer than usual.
- The gums appear swollen and inflamed.
- A change in tooth alignment can be observed when the mouth is closed.
- Pus forms between the teeth and gums.
- Patients experience a persistent bad taste in the mouth and bad breath.
What Are Gum Diseases, and How Do They Progress?
Gum diseases usually begin with gingivitis, a mild gum inflammation. If left untreated, the infection progresses, causing the jawbone to deteriorate. Over time, the teeth begin to loosen, leading to severe infections that can result in tooth loss, a condition known as periodontitis. As the disease progresses, swelling, redness, bleeding, and gum recession are observed. Teeth appear longer, shift in position, and gaps form between them. In advanced stages, the teeth may become loose, accompanied by persistent bad breath.
Smokers should be particularly vigilant when noticing gum disease symptoms, as nicotine can constrict blood vessels and make it harder to detect bleeding, delaying the recognition of the disease.

How Is Gum Treatment Done?
Gum treatment begins with the removal of hard deposits between the teeth using specialized tools. Microbial dental plaque is cleaned with the correct techniques, and patients are instructed on how to properly maintain oral hygiene at home. For those with simple gum inflammation (gingivitis), removing the hard deposits and maintaining good oral and dental care is usually sufficient.
However, if the gum infection and inflammation have progressed, periodontal surgery may be required.
This procedure is performed under local anesthesia. With the advancement of technology, it is possible to perform the treatment painlessly, without bleeding, and without stitches, using modern devices. After the treatment, regular check-ups are essential to ensure the gums remain healthy. The frequency of these check-ups is determined by the dentist and may range from every 3, 6, or 12 months.
The success of gum treatment depends not only on the procedure itself but also on how committed the patients are to following through with the treatment and adhering to the dentist’s recommendations.